畜牧業已成為致富農民、振興農村的一項支柱產業,隨著科技進步,畜牧養殖業越來越科技化,獸用B超機也成為養殖戶必不可少的工具,聽到很多人反饋看不懂獸用B超圖像怎么辦?其實看懂獸用B超機圖片并不難,看完本文你就完全可以掌握。
B超機能讓我們盡早發現未懷孕母豬,減少非生產成本,從而降低養殖場成本,提升利潤.B超機的使用對于配種過后的母豬越早發現越好,那什么時候使用可以確定,怎么使用比較準確呢?
首先,我們剛配完種的豬讓其盡量多休息避免應激有助于胚胎著床,在18-24天的時候,由我們的配種人員進行查返情做初步確定是否受孕。這期間,發情母豬盡快集中銷售(空流返母豬不建議利用)到了24天我們就可以利用B超機對母豬進行初步的判斷。

首先確定妊娠母豬的日齡,準備B超孕檢的物品(B超機、耦合劑、標識噴漆、配種記錄檔案本)。然后找準位置,將探頭涂抹上耦合劑放到妊檢位置向脊椎45度方向調整。確定位置后探頭貼緊皮膚,以探頭為中心,前后、上下調整入射角度.這時觀看顯示屏,當部分畫面顯示囊胚時,調節探頭的角度就可以擴大顯示。確定無胎兒時在豬背上做上標記并及時趕走銷售。

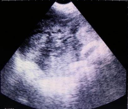
獸用B超機檢測母豬空懷圖像

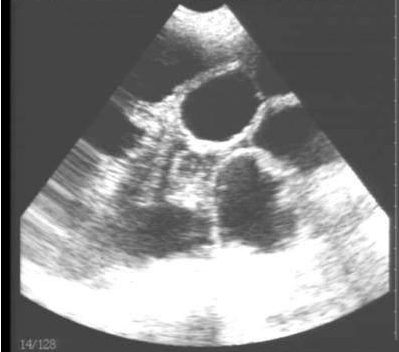
豬用B超機檢測有胎兒圖像
需要注意的是,出現云團狀必須雙側檢查加以確認.根據B超機顯示圖我們大致可以判斷孕齡.圖像呈橢圓或者卵圓形大致為30天左右孕齡;圖像呈橢圓形或者卵圓形外,有明顯發亮骨骼圖像大致為50孕齡左右;圖像囊胚消失,發亮處隱約可見竹節狀東西為成型胎兒骨骼,一般為后期80孕齡以后。一般B超機成像會出現三種顏色,白色、黑色、灰色。白色為密度較高的物體,如骨骼或者結實.黑色一般為液體,包括血液、羊水、組織間隙液體、炎癥病灶等。灰色一般為實質性物質,如肌肉。

懷孕后期胎兒骨骼圖像
總之,母豬妊檢的重要性不言而喻,前期查返情時必須是母豬吃飽喝足后進行,過程中對于發現異常母豬(炎癥、瘦弱、炸毛)及時標記處理。做母豬B超一定要熟練的人員進行操作??此坪唵蔚牧鞒涛覀兊哪康闹挥幸粋€那就是降低非生產成本,提高利潤。
希望我的講解能給您帶來幫助,大為醫療獸用B超機服務于眾多養殖場和寵物醫院,質量過硬,售后及時,如您有需要可撥打電話:15335104441咨詢!
推薦閱讀:獸用B超機在使用及維護中的注意事項